Inicio Patología Especiales Tecnologia Preguntas Nosotros

 

 

 

 

 

Histeroscopia Articulos médicos Videos Imágenes Libros de Histeroscopia Documentos
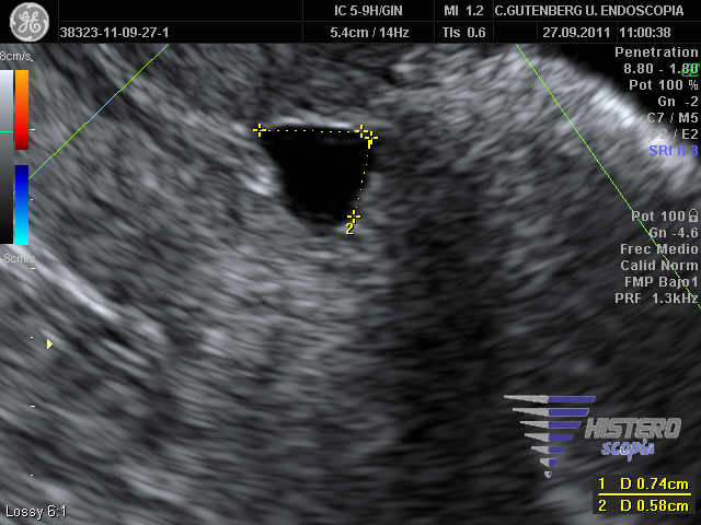
istmocele 2 istmocele 5 istmocele 3
istmocele 4 shot0140 istmocele 6
Inicio      Patología      Especiales      Tecnologia      Preguntas      Nosotros

Derechos de autor 2010 HISTEROSCOPIA